電子元件產業
使用數位顯微鏡觀察、量測功率半導體(功率元件)
半導體以CPU及記憶體為代表,功率半導體卻不是處理資料,而是控制電力,稱為功率元件。在此介紹使用數位顯微鏡觀察、量測功率半導體(功率元件)的案例。

何謂功率半導體
功率半導體的定義不明確,通常是指控制大電壓、電流,且額定電流在1 A以上的半導體。
功率半導體的作用
- 變頻器:
- 將直流轉換成交流。

- A:變頻器
- a:直流
- b:交流
- 轉換器:
- 將交流轉換成直流。

- A:轉換器
- a:交流
- b:直流
- 頻率轉換:
- 轉換交流的頻率。

- A:頻率轉換
- a:交流
- 調節器:
- 轉換直流的電壓。

- A:調節器
- a:直流
功率半導體的種類及特徵
功率二極體
作用:整流
不進行交換,只向單一方向導電。
功率晶體管
作用:交換及放大
- 閘流管
- 特徵在於最早實用化且高耐壓。
- 功率MOS FET(金屬氧化物半導體場效應晶體管)
- 特徵在於高速、高頻。在低於200 V左右的低耐壓領域通常使用功率MOS FET。筆記型電腦/IT設備為代表。
- IGBT(絕緣閘雙極晶體管)
- 特徵在於高耐壓且高速、高頻。IGBT常用於200 V以上的中、高耐壓領域。EV/混合動力車/鐵路車輛為代表。
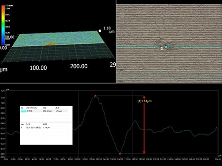
使用數位顯微鏡觀察、量測功率半導體(功率元件)的案例
以下介紹使用KEYENCE的4K數位顯微鏡「VHX系列」觀察、量測功率半導體的最新案例。


功率半導體不良部位的觀察
使用Optical Shadow Effect Mode將凹凸可視化,可瞬間判斷不良部位是附著還是凹陷。


功率半導體晶圓原料的觀察
使用去除環狀功能,可去除表面光暈。


功率半導體的封膠樹脂內填料(填充劑)觀察
使用HDR功能,可提升對比,正確量測填料的形狀。




